Even though microscopes have been around for hundreds of years, they are still playing a vital role in modern medicine. In fact, a new microscope is being purchased for Kingston General Hospital’s Laboratory Services Department that will reduce the time it takes to diagnose a condition while a patient is in surgery. It’s all thanks to a $60,000 donation from the Kingston Community Credit Union. (KCCU)
The new multi-head microscope will replace an older model in the histology lab and will be used by pathologists to diagnose conditions quicker than ever before. Outfitted with the latest technology, the microscope will provide clearer images of tissue samples.
“This is one of the more critical day-to-day activities that we engage in, so having a good quality equipment and set up is really important,” says Pathologist Dr. Timothy Childs.
The histology lab is located just down the hall from the hospital’s Operating Rooms. Surgeons are able to take a sample of tissue during an operation and easily consult with a pathologist and a team of other professionals using the microscope. For example, together they are able to determine if a tissue sample is cancerous, while the patient is still under anesthesia in the OR. Armed with a diagnosis the surgeon is able to then return to the OR and remove the rest of the cancerous tissue.
To complete a test like this with the current microscope it takes on average, about 20 minutes. With the new microscope it is expected that results will be quicker due to the improved clarity of the images.
“This donation by the KCCU is an example of commitment to all the people that are served by our hospital,” says Denise Cumming, Executive Director of the University Hospitals Kingston Foundation. “The laboratories at Kingston General Hospital not only provide vital diagnostic information to caregivers at KGH but provide a key diagnostic role to hospitals throughout the region.”
Medical professionals in training will also benefit from this new technology as the microscope comes equipped with a large television screen so students can view the tissue samples as the pathologist works with the surgical team. This kind of training is an important piece of KGH’s role as a teaching hospital.
“Having the right technology in our labs is an important part in how we as a hospital deliver high-quality care,” says Colleen Knapp, Manager of Clinical Lab Services. “Often when a patient receives life-saving and life-improving care at KGH, the labs have played a critical role in diagnosis and delivering the best outcome for the patient.”
Last year, the Laboratory Services Department conducted over one million tests in support of care for patients at Kingston General Hospital as well as other hospitals across Southeastern Ontario.
Gallery
Pathologist Dr. Timothy Childs shows representatives from the KCCU and UHKF the lab's current microscope
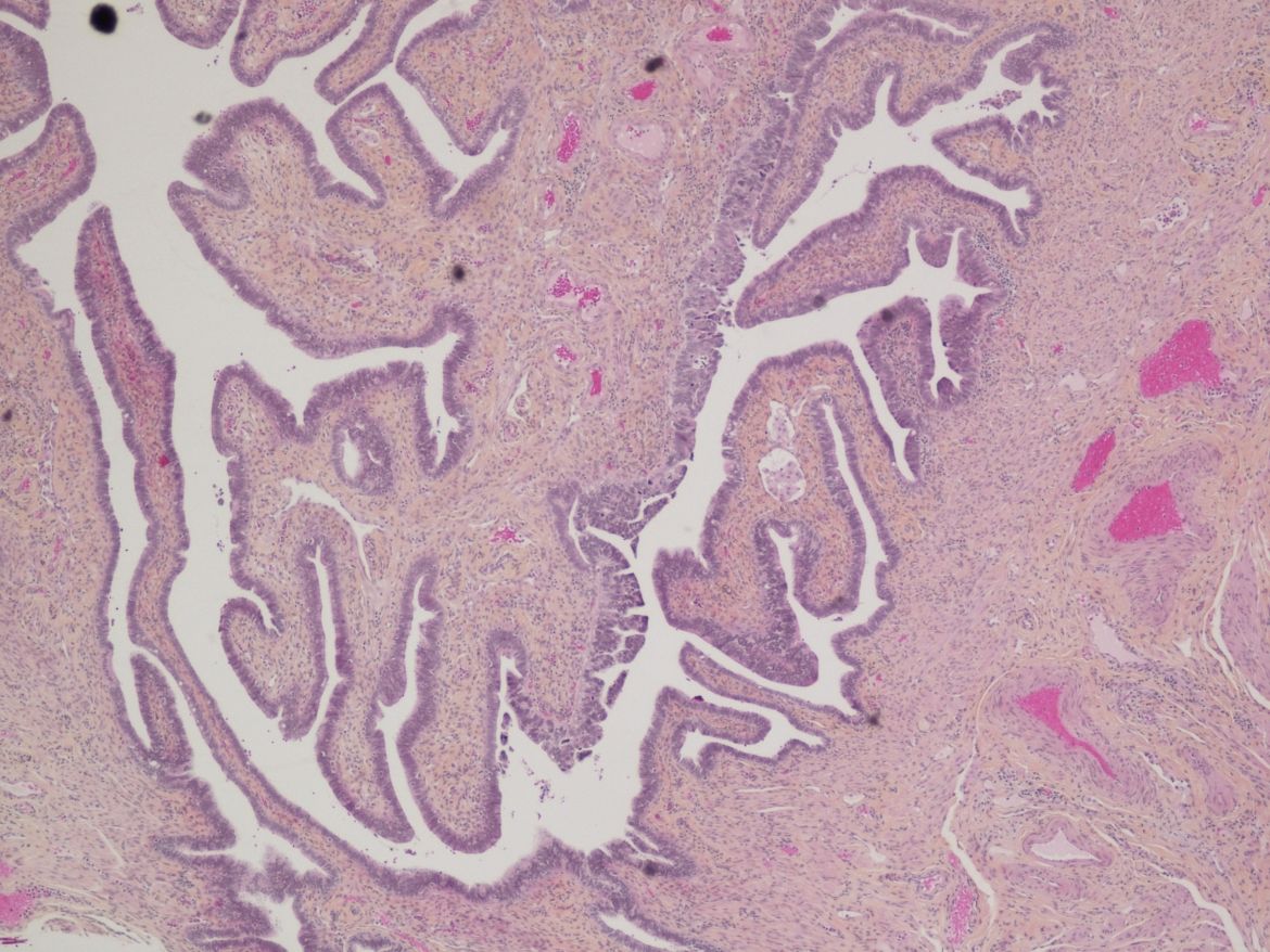
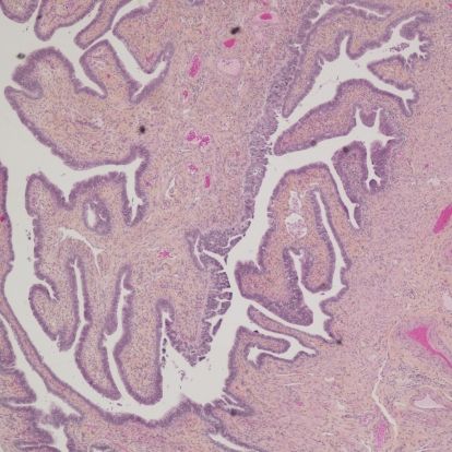
An image of cancerous tissue as seen through a microscope in the histology lab
Executive Director of the UHKF Denise Cummings speaks to KCCU representatives and members of the media
KCCU CEO Jon Desseau announces a $60,000 donation for the KGH lab
Members of the KCCU, UHKF and KGH Laboratory Services Department during the cheque presentation